Les gouttières orthodontiques sont des dispositifs amovibles en plastique transparent conçus pour corriger progressivement l’alignement des dents. Elles sont...
Blog
C’est un dispositif moderne de traitement des problèmes fonctionnels avec la possibilité d’obtenir un alignement des dents. Il a pour but d’intercepter la dé...
L’orthodontiste utilise le Quadhélix principalement pour provoquer une augmentation de la largeur de la mâchoire supérieure.
Cet appareil peut être utilisé ...
L’orthodontiste utilise le Lip Bumper principalement pour provoquer une augmentation de la longueur de la mâchoire inférieure chez l’enfant.
Cet appareil pe...
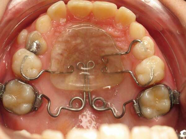
L’orthodontiste utilise le Pendulum pour provoquer un recul d’une ou des deux premières molaires de l’arcade supérieure (dents de 6 ans).
Ce recul peut être...
Les appareils multi-attaches externes sont des appareils fixes qui comprennent des attaches collées sur la partie visibles des dents.
Ces attaches peuvent êt...






