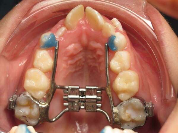
La disjonction palatine rapide
La mâchoire supérieure est constituée de deux hémi-maxillaires reliés entre eux par une suture. La disjonction palatine consis...
Blog - Page 3
Une dent est un organe composé d’une partie visible, la couronne, et d’une partie cachée, la racine.
Une dent abîmée peut être reconstruite avec ce que l’on appelle une prothèse dentaire fixe.
Le diabète peut avoir un impact sur les vaisseaux des gencives, la sensibilité à l'infection et le flux salivaire.
Ce traitement d’orthodontie invisible déplace les dents à l’aide de gouttières amovibles transparentes réalisées sur mesure.
Invisalign® est un traitement orthodontique basé sur le port successif d’une série de gouttières transparentes.






